Mobile   :   +919820142474
Email   :  
Our Specialty

Apicoectomy  
Bone Grafting  
BOTOX® Cosmetic  
Cleft Lip & Palate  
Dental Extractions  
Dental Implant  
Distraction Osteogenesis  
Facial Trauma  
Impacted Canines  
Instructions  
Orthognathic Surgery  
Oral Pathology  
Oral Sedation  
Platelet Rich Plasma  
Tumor Surgery  
TMJ Disorders  
Wisdom Teeth Surgery  

ORAL LICHEN PLANUS

 
   
RETICULAR LICHEN PLANUS
   
   
PAPULAR LICHEN PLANUS ATROPHIC LICHEN PLANUS
   

ORAL LICHEN PLANUS

 
   
   
EROSIVE LICHEN PLANUS GINGIVAL LICHEN PLANUS
   
ORO-ANTRAL FISTULA REPAIR PALATAL ISLAND FLAP
   
   
CLINICAL PRESENTATION C T SCAN EXAMINATION
   
   
INTRA OPERATIVE

EXCISION OF TUMOR

   
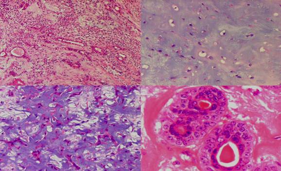
Pleomorphic Adenoma of hard Palate
 
   
HISTOPATHOLOGY EXAMINATION large pleomorphic cells with hyperchromatic,
pleomorphic nuclei and prominent nucleoli. Inset (original magnification 40, H&E)
   
Red and White Lesions
   
   
PRE-OP CLINICALLY

POST OP AFTER SIX MONTHS

   
   
   

SQUAMOUS CELL CARCINOMA

 
   
   
   
   

LEUKOPLAKIA

 
   
   

ERYTHROPLAKIA

 
   
   

ORAL LICHEN PLANUS

 
   
   
   
   
 

 
 
 

Back to Top