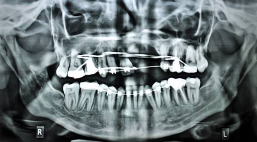
ORTHOGNATHIC SURGERY |
| |
MAXILLARY LEFORT I ADVANCEMENT
BILATERAL SAGITAL SPLIT OSTEOTOMY SETBACK |
| |
|
|
| |
| |
|
|
| |
 |
| Pre-Op Profile |
| |
 |
| Post-Op Profile |
| |
 |
| Pre-Op Profile |
| |
 |
| Post-Op Profile |
| |
 |
 |
Pre-Op Profile |
Post-Op Profile |
|
|
| |
 |
 |
Pre-Op Profile |
Post-Op Profile |
|
|
| |
 |
 |
Pre-Op Profile |
Post-Op Profile |
|
| |
 |
 |
Pre-Op Profile |
Post-Op Profile |
|
| |
| |