Mobile   :   +919820142474
Email   :  
Our Specialty

Apicoectomy  
Bone Grafting  
BOTOX® Cosmetic  
Cleft Lip & Palate  
Dental Extractions  
Dental Implant  
Distraction Osteogenesis  
Facial Trauma  
Impacted Canines  
Instructions  
Orthognathic Surgery  
Oral Pathology  
Oral Sedation  
Platelet Rich Plasma  
Tumor Surgery  
TMJ Disorders  
Wisdom Teeth Surgery  

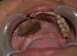
MANAGEMENT OF BENIGN TUMOR OF MAXILLA

A) RESECTION OF TUMOUR
B) RECONSTRUCTION WITH VASCULARISED OSTEOMYOCUTANEOUS ILLIAC BONE GRAFT
C) PLACEMENT OF OSTEOINTEGRATED DENTAL IMPLANTS
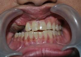
D) REHABILITATION OF DENTAL OCCLUSION
 
   
 

PRE OP OPG AND P A WATER'S VIEW SHOWS DISEASE

 
 
C T SCAN CORONAL SECTION SHOWS THE EXTENT OF DISEASE
 
 
C T SCAN AXIAL SECTION SHOWS EXTENT OF DISEASE
 
   
 

C T SCAN CORONAL AND AXIAL SECTION SHOWS EXTENT OF DEFECT AFTER RESECTION

 
 

3 D RECONSTRUCTION SHOWS THE DEFECT IN MAXILLA

 
 

OPG SHOWS RECONSTRUCTION OF MAXILLA WITH OSTEOMYOCUTANEOUS ILLIAC BONE GRAFT AND IMPLANTS

 
 
   
 

INTRA ORAL IMAGES

 
   
 

OCCLUSION REHABILITATION

 
   
 
BALANCED OCCLUSION REHABILITATION
 
 
 
 

 
 
 

Back to Top