Mobile
:
+919820142474
Email
:
Home
|
About Me
|
Specialty
|
Ref. Doctors
|
Contact Us
Our
Specialty
Apicoectomy
Bone Grafting
BOTOX® Cosmetic
Cleft Lip & Palate
Dental Extractions
Dental Implant
Distraction Osteogenesis
Facial Trauma
Impacted Canines
Instructions
Orthognathic Surgery
Oral Pathology
Oral Sedation
Platelet Rich Plasma
Tumor Surgery
TMJ Disorders
Wisdom Teeth Surgery
PLACEMENT OF DENTAL IMPALNT
1 ST PREMOLAR EXTRACTION
BONE GRAFTING
4 MONTH HEALING
PLACEMENT OF IMPLANT
PLACEMENT OF DENTAL IMPALNT
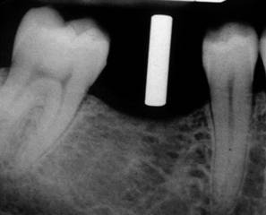
PILOT DRILL
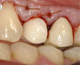
IMPLANT IN SITU
LABORATORY PROCEDURES
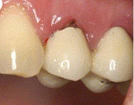
ABUTMENT PLACEMENT
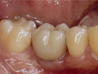
PROSTHESIS
OSTEOINTEGRATE DENTAL IMPLANT SURGERY
Home
|
About Me
|
Specialty
|
Ref. Doctors
|
Contact Us
Copyright 2010 Dr. Jayesh N. Vahanwala
designed by
web designers in mumbai
Back to Top